详细说明
概述
产品名称Anti-BTBD17抗体[EPR9593(B)]
描述
兔单克隆抗体[EPR9593(B)] to BTBD17
经测试应用WB,IHC-P
种属反应性
与反应: Human
免疫原
Synthetic peptide (the amino acid sequence is considered to be commercially sensitive)
阳性对照
Human colon cancer, Human fetal kidney, and Human bladder lysates, Human kidney clear cell carcinoma and Human liver tissues.
常规说明
This product is a recombinant rabbit monoclonal antibody.
Produced using Abcam’s RabMAb® technology. RabMAb® technology is covered by the following U.S. Patents, No. 5,675,063 and/or 7,429,487.
Mouse, Rat: We have preliminary internal testing data to indicate this antibody may not react with these species. Please contact us for more information.
性能
形式Liquid
存放说明Shipped at 4°C. Upon delivery aliquot and store at -20°C. Avoid freeze / thaw cycles.
存储溶液Preservative: 0.01% Sodium azide
Constituents: 50% Glycerol, 0.05% BSA纯度Tissue culture supernatant
克隆单克隆
克隆编号EPR9593(B)
同种型IgG
研究领域
<a javascript:void(0)>Cell Biology
Other Antibodies
Other Antibodies
Anti-BTBD17 antibody [EPR9593(B)] 图像
![Western blot - Anti-BTBD17 antibody [EPR9593(B)] (ab138507)](http://img.lianshimall.com/statics/attachment/goods/pl20160426/abcamMainImgPrimary/detail/ab13/ab1385077-1.jpg)
Western blot - Anti-BTBD17 antibody [EPR9593(B)] (ab138507)
All lanes : Anti-BTBD17 antibody [EPR9593(B)] (ab138507) at 1/1000 dilution
Lane 1 : Human colon cancer lysate
Lane 2 : Human fetal kidney lysate
Lane 3 : Human bladder lysate
Lysates/proteins at 10 µg per lane.
Secondary
HRP labelled goat anti-rabbit at 1/2000 dilution
Predicted band size : 52 kDa
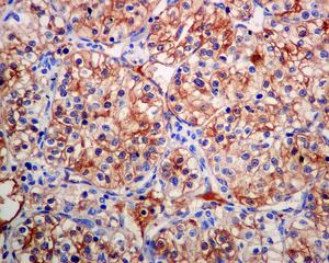
![Immunohistochemistry (Formalin/PFA-fixed paraffin-embedded sections) - Anti-BTBD17 antibody [EPR9593(B)] (ab138507)](http://img.lianshimall.com/statics/attachment/goods/pl20160426/abcamMainImgPrimary/detail/ab13/ab1385077-2.jpg)
Immunohistochemistry (Formalin/PFA-fixed paraffin-embedded sections) - Anti-BTBD17 antibody [EPR9593(B)] (ab138507)
Immunohistochemical analysis of paraffin embedded Human kidney clear cell carcinoma tissue labelling BTBD17 with ab138507 antibody at a dilution of 1/50.
![Immunohistochemistry (Formalin/PFA-fixed paraffin-embedded sections) - Anti-BTBD17 antibody [EPR9593(B)] (ab138507)](http://img.lianshimall.com/statics/attachment/goods/pl20160426/abcamMainImgPrimary/detail/ab13/ab1385077-3.jpg)
Immunohistochemistry (Formalin/PFA-fixed paraffin-embedded sections) - Anti-BTBD17 antibody [EPR9593(B)] (ab138507)
Immunohistochemical analysis of paraffin embedded Human liver tissue labelling BTBD17 with ab138507 antibody at a dilution of 1/50.




![Anti-Amyloid Precursor Protein (phospho T743) antibody [EPR826(2)] 10µl](https://yunshiji.oss-cn-shenzhen.aliyuncs.com/202407/25/efustjl0t32.jpg)
![Anti-Amyloid Precursor Protein (phospho T743) antibody [EPR826(2)] 100µl](https://yunshiji.oss-cn-shenzhen.aliyuncs.com/202407/25/znag3pwiht2.jpg)
![Anti-Amyloid Precursor Protein (phospho T743) antibody [EPR7074(N)] 10µl](https://yunshiji.oss-cn-shenzhen.aliyuncs.com/202407/25/1533ghumess.jpg)
![Anti-Amyloid Precursor Protein (phospho T743) antibody [EPR7074(N)] 40µl](https://yunshiji.oss-cn-shenzhen.aliyuncs.com/202407/25/m3oddvdga24.jpg)
![Anti-Amyloid Precursor Protein (phospho T743) antibody [EPR7074(N)] 100µl](https://yunshiji.oss-cn-shenzhen.aliyuncs.com/202407/25/wb5bhhxl2y3.jpg)
![Anti-Amyloid Fibril antibody [mOC87] - Conformation-Specific 10µl](https://yunshiji.oss-cn-shenzhen.aliyuncs.com/202407/25/fkovqqe4v4o.jpg)





粤公网安备44196802000105号