详细说明
概述
产品名称Anti-CTBP2抗体[EPR7611(B)]
描述
兔单克隆抗体[EPR7611(B)] to CTBP2
经测试应用WB,IHC-P,ICC/IF
种属反应性
与反应: Mouse, Rat, Human
免疫原
Synthetic peptide corresponding to residues at the C-terminus of Human CTBP2.
阳性对照
HeLa, SKBR-3 and Saos 2 cell lysates; Human thyroid carcinoma tissue; SKBR-3 cells.
常规说明
This product is a recombinant rabbit monoclonal antibody.
Produced using Abcam’s RabMAb® technology. RabMAb® technology is covered by the following U.S. Patents, No. 5,675,063 and/or 7,429,487.
Alternative versions available:
Anti-CTBP2 antibody (Alexa Fluor® 488) [EPR7611(B)] (ab204662)
Anti-CTBP2 antibody (Alexa Fluor® 647) [EPR7611(B)] (ab204663)
性能
形式Liquid
存放说明Shipped at 4°C. Store at -20°C. Stable for 12 months at -20°C.
存储溶液pH: 7.20
Preservative: 0.01% Sodium azide
Constituents: 49% PBS, 50% Glycerol, 0.05% BSA纯度Tissue culture supernatant
克隆单克隆
克隆编号EPR7611(B)
同种型IgG
研究领域
Epigenetics and Nuclear Signaling
Transcription
Co-factors
Epigenetics and Nuclear Signaling
Transcription
Other factors
Neuroscience
Cell Type Marker
Neuron marker
Synapse marker
Microbiology
Organism
Virus
DNA Virus
double stranded DNA Virus
Adenovirus
Anti-CTBP2 antibody [EPR7611(B)] 图像
![Western blot - Anti-CTBP2 antibody [EPR7611(B)] (ab128871)](http://img.lianshimall.com/statics/attachment/goods/pl20160426/abcamMainImgPrimary/detail/ab12/ab1288711-1.jpg)
Western blot - Anti-CTBP2 antibody [EPR7611(B)] (ab128871)
All lanes : Anti-CTBP2 antibody [EPR7611(B)] (ab128871) at 1/10000 dilution
Lane 1 : HeLa cell lysate
Lane 2 : SKBR-3 cell lysate
Lane 3 : Saos 2 cell lysate
Lysates/proteins at 10 µg per lane.
Secondary
Goat-anti-rabbit HRP at 1/2000 dilution
developed using the ECL technique
Predicted band size : 49 kDa
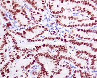
![Immunohistochemistry (Formalin/PFA-fixed paraffin-embedded sections) - Anti-CTBP2 antibody [EPR7611(B)] (ab128871)](http://img.lianshimall.com/statics/attachment/goods/pl20160426/abcamMainImgPrimary/detail/ab12/ab1288711-5.gif)
Immunohistochemistry (Formalin/PFA-fixed paraffin-embedded sections) - Anti-CTBP2 antibody [EPR7611(B)] (ab128871)
ab128871 at 1/250 dilution staining CTBP2 in Paraffin-embedded Human thyroid carcinoma tissue by Immunohistochemistry.
![Immunocytochemistry/ Immunofluorescence - Anti-CTBP2 antibody [EPR7611(B)] (ab128871)](http://img.lianshimall.com/statics/attachment/goods/pl20160426/abcamMainImgPrimary/detail/ab12/ab1288711-3.jpg)
Immunocytochemistry/ Immunofluorescence - Anti-CTBP2 antibody [EPR7611(B)] (ab128871)
ab128871 at 1/100 dilution staining CTBP2 in SKBR-3 cells by Immunofluorescence.




![Anti-ARH antibody [EPR13116] - C-terminal 10µl](https://yunshiji.oss-cn-shenzhen.aliyuncs.com/202407/25/qcl42xpkhtn.jpg)
![Anti-ARH antibody [EPR13116] - C-terminal 40µl](https://yunshiji.oss-cn-shenzhen.aliyuncs.com/202407/25/km2qyuvmwtw.jpg)
![Anti-Apc6 antibody [EPR11168] 100µl](https://yunshiji.oss-cn-shenzhen.aliyuncs.com/202407/25/1xu2gy3nwvw.jpg)
![Anti-APC antibody [EP701Y] 10µl](https://yunshiji.oss-cn-shenzhen.aliyuncs.com/202407/25/gr5elygkc14.gif)
![Anti-APC antibody [EP701Y] 40µl](https://yunshiji.oss-cn-shenzhen.aliyuncs.com/202407/25/4n2k0ijb2c0.gif)



粤公网安备44196802000105号