详细说明
概述
产品名称Anti-FNTB抗体[EPR4707]
描述
兔单克隆抗体[EPR4707] to FNTB
经测试应用WB,IP,IHC-P,Flow Cyt
种属反应性
与反应: Human
免疫原
A synthetic peptide corresponding to residues at the C-terminus of Human FNTB (P49356)
阳性对照
JAR, A431, U87-MG and A375 cell lysates, Human breast tissue
常规说明
This product is a recombinant rabbit monoclonal antibody.
Produced using Abcam’s RabMAb® technology. RabMAb® technology is covered by the following U.S. Patents, No. 5,675,063 and/or 7,429,487.
Mouse, Rat: We have preliminary internal testing data to indicate this antibody may not react with these species. Please contact us for more information.
性能
形式Liquid
存放说明Shipped at 4°C. Store at -20°C. Stable for 12 months at -20°C.
存储溶液PBS 49%,Sodium azide 0.01%,Glycerol 50%,BSA 0.05%
纯度Tissue culture supernatant
克隆单克隆
克隆编号EPR4707
同种型IgG
研究领域
Metabolism
Types of disease
Cancer
Metabolism
Pathways and Processes
Metabolic signaling pathways
Amino acid metabolism
<a javascript:void(0)>Signal Transduction
Metabolism
Amino Acids
Anti-FNTB antibody [EPR4707] 图像
![Western blot - FNTB antibody [EPR4707] (ab109625)](http://img.lianshimall.com/statics/attachment/goods/pl20160426/abcamMainImgPrimary/detail/ab10/ab1096255-1.jpg)
Western blot - FNTB antibody [EPR4707] (ab109625)
All lanes : Anti-FNTB antibody [EPR4707] (ab109625) at 1/10000 dilution
Lane 1 : JAR cell lysate
Lane 2 : A431 cell lysate
Lane 3 : U87-MG cell lysate
Lane 4 : A375 cell lysate
Lysates/proteins at 10 µg per lane.
Secondary
HRP labelled Goat anti-Rabbit at 1/2000 dilution
Predicted band size : 49 kDa
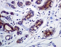
![Immunohistochemistry (Formalin/PFA-fixed paraffin-embedded sections) - FNTB antibody [EPR4707] (ab109625)](http://img.lianshimall.com/statics/attachment/goods/pl20160426/abcamMainImgPrimary/detail/ab10/ab1096255-2.jpg)
Immunohistochemistry (Formalin/PFA-fixed paraffin-embedded sections) - FNTB antibody [EPR4707] (ab109625)
Immunohistochemical analysis of paraffin-embedded Human breast tissue using ab109625 at 1/100 dilution.




![Anti-DUSP9 antibody [EPR15541] 10µl](https://yunshiji.oss-cn-shenzhen.aliyuncs.com/202407/25/vgjondqmwki.jpg)
![Anti-DUSP9 antibody [EPR15541] 100µl](https://yunshiji.oss-cn-shenzhen.aliyuncs.com/202407/25/010a1s2t4om.jpg)
![Anti-DUSP6 antibody [EPR129Y] 10µl](https://yunshiji.oss-cn-shenzhen.aliyuncs.com/202407/25/j3nddhog5tm.jpg)
![Anti-DUSP6 antibody [EPR129Y] 40µl](https://yunshiji.oss-cn-shenzhen.aliyuncs.com/202407/25/q0uryu42w3d.jpg)
![Anti-DUSP6 antibody [EPR129Y] 100µl](https://yunshiji.oss-cn-shenzhen.aliyuncs.com/202407/25/2dz3nzrxacd.jpg)
![Anti-DUSP5 antibody [EPR19684] 40µl](https://yunshiji.oss-cn-shenzhen.aliyuncs.com/202407/25/shy1iw2n15x.jpg)



粤公网安备44196802000105号