详细说明
概述
产品名称Anti-MPG抗体[EPR10959(B)]
描述
兔单克隆抗体[EPR10959(B)] to MPG
经测试应用ICC/IF,WB,IHC-P,ICC,IP
种属反应性
与反应: Mouse, Rat, Human
免疫原
Synthetic peptide, corresponding to residues in Human MPG (UniProt: P29372).
阳性对照
HeLa, 293T and Jurkat cell lysates; Human testis tissue and ovarian carcinoma tissue.
常规说明
This product is a recombinant rabbit monoclonal antibody.
Produced using Abcam’s RabMAb® technology. RabMAb® technology is covered by the following U.S. Patents, No. 5,675,063 and/or 7,429,487.
Alternative versions available:
性能
形式Liquid
存放说明Shipped at 4°C. Store at +4°C short term (1-2 weeks). Upon delivery aliquot. Store at -20°C. Avoid freeze / thaw cycle.
存储溶液Preservative: 0.01% Sodium azide
Constituents: 50% Glycerol, 0.05% BSA纯度Tissue culture supernatant
克隆单克隆
克隆编号EPR10959(B)
同种型IgG
研究领域
Epigenetics and Nuclear Signaling
DNA / RNA
DNA Damage & Repair
Base Excision Repair
Anti-MPG antibody [EPR10959(B)] 图像
![Western blot - Anti-MPG antibody [EPR10959(B)] (ab155092)](http://img.lianshimall.com/statics/attachment/goods/pl20160426/abcamMainImgPrimary/detail/ab15/ab1550922-2.jpg)
Western blot - Anti-MPG antibody [EPR10959(B)] (ab155092)
All lanes : Anti-MPG antibody [EPR10959(B)] (ab155092) at 1/10000 dilution
Lane 1 : HeLa cell lysate
Lane 2 : 293T cell lysate
Lane 3 : Jurkat cell lysate
Lysates/proteins at 10 µg per lane.
Secondary
Goat anti-rabbit HRP at 1/2000 dilution
Predicted band size : 33 kDa
![Immunohistochemistry (Formalin/PFA-fixed paraffin-embedded sections) - Anti-MPG antibody [EPR10959(B)] (ab155092)](http://img.lianshimall.com/statics/attachment/goods/pl20160426/abcamMainImgPrimary/detail/ab15/ab1550922-3.jpg)
Immunohistochemistry (Formalin/PFA-fixed paraffin-embedded sections) - Anti-MPG antibody [EPR10959(B)] (ab155092)
Immunohistochemical analysis of paraffin-embedded Human ovarian carcinoma tissue labeling MPG with ab155092 at 1/50 dilution.
![Immunohistochemistry (Formalin/PFA-fixed paraffin-embedded sections) - Anti-MPG antibody [EPR10959(B)] (ab155092)](http://img.lianshimall.com/statics/attachment/goods/pl20160426/abcamMainImgPrimary/detail/ab15/ab1550922-4.jpg)
Immunohistochemistry (Formalin/PFA-fixed paraffin-embedded sections) - Anti-MPG antibody [EPR10959(B)] (ab155092)
Immunohistochemical analysis of paraffin-embedded Human tesis tissue labeling MPG with ab155092 at 1/50 dilution.
](http://img.lianshimall.com/statics/attachment/goods/pl20160426/abcamMainImgPrimary/detail/ab15/ab1550922-5.jpg)
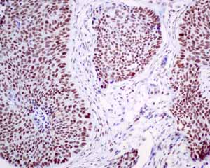
Immunohistochemistry (Formalin/PFA-fixed paraffin-embedded sections)-Anti-MPG antibody [EPR10959(B)](ab155092)
Immunohistochemical analysis of paraffin embedded Human lung adenocarcinoma tissue using ab155092 showing +ve staining.
](http://img.lianshimall.com/statics/attachment/goods/pl20160426/abcamMainImgPrimary/detail/ab15/ab1550922-6.jpg)
Immunohistochemistry (Formalin/PFA-fixed paraffin-embedded sections)-Anti-MPG antibody [EPR10959(B)](ab155092)
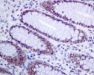
Immunohistochemical analysis of paraffin embedded Human normal colon tissue using ab155092 showing +ve staining.
](http://img.lianshimall.com/statics/attachment/goods/pl20160426/abcamMainImgPrimary/detail/ab15/ab1550922-7.jpg)
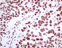
Immunohistochemistry (Formalin/PFA-fixed paraffin-embedded sections)-Anti-MPG antibody [EPR10959(B)](ab155092)
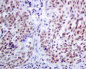
Immunohistochemical analysis of paraffin embedded Human cervical carcinoma tissue using ab155092 showing +ve staining.
](http://img.lianshimall.com/statics/attachment/goods/pl20160426/abcamMainImgPrimary/detail/ab15/ab1550922-8.jpg)
Immunohistochemistry (Formalin/PFA-fixed paraffin-embedded sections)-Anti-MPG antibody [EPR10959(B)](ab155092)
Immunohistochemical analysis of paraffin embedded Human normal breast tissue using ab155092 showing +ve staining.
![Immunocytochemistry/ Immunofluorescence - Anti-MPG antibody [EPR10959(B)] (ab155092)](http://img.lianshimall.com/statics/attachment/goods/pl20160426/abcamMainImgPrimary/detail/ab15/ab155092cif.jpg)
Immunocytochemistry/ Immunofluorescence - Anti-MPG antibody [EPR10959(B)] (ab155092) This image is courtesy of an anonymous Abreview
ab155092 staining MPG in human primary fibroblasts by ICC/IF (Immunocytochemistry/immunofluorescence). Cells were fixed with paraformaldehyde, permeabilized with 0.2% Triton X-100 and blocked with 2% BSA for 1 hour at room temperature. Samples were incubated with primary antibody (1/500 in PBS + 2% BSA) for 14 hours at 4°C. An Alexa Fluor® 488-conjugated goat anti-rabbit IgG polyclonal (1/300) was used as the secondary antibody.
See Abreview
![Immunocytochemistry/ Immunofluorescence - Anti-MPG antibody [EPR10959(B)] (ab155092)](http://img.lianshimall.com/statics/attachment/goods/pl20160426/abcamMainImgPrimary/detail/ab15/ab1550922-9.jpg)
Immunocytochemistry/ Immunofluorescence - Anti-MPG antibody [EPR10959(B)] (ab155092) Image courtesy of an Abreview submitted by Dr. Kirk McManus, Univ. of Manitoba/Cancer Care MICB, Canada
ab155092 (1/500) staining MPG in HeLa cells (green). Cells were fixed in paraformaldehyde, permeabilized with 0.5%Triton X-100/PBS and counterstained with DAPI in order to highlight the nucleus (red). For further experimental details please refer to Abreview.
See Abreview




![Anti-Neuropilin 1 antibody [EPR3113] 100µl](https://yunshiji.oss-cn-shenzhen.aliyuncs.com/202407/25/brucq00wkwy.jpg)
![Anti-Neuronatin antibody [EPR13554(B)] 10µl](https://yunshiji.oss-cn-shenzhen.aliyuncs.com/202407/25/0kylseykmqq.jpg)
![Anti-Neuronatin antibody [EPR13554(B)] 40µl](https://yunshiji.oss-cn-shenzhen.aliyuncs.com/202407/25/axwgvh0wpjv.jpg)
![Anti-Neuronatin antibody [EPR13554(B)] 100µl](https://yunshiji.oss-cn-shenzhen.aliyuncs.com/202407/25/x342nndiuwl.jpg)
![Anti-Neuroligin 4 antibody [EPR13108] 10µl](https://yunshiji.oss-cn-shenzhen.aliyuncs.com/202407/25/b1ttm2gw1oe.jpg)
![Anti-Neuroligin 4 antibody [EPR13108] 40µl](https://yunshiji.oss-cn-shenzhen.aliyuncs.com/202407/25/pcqbqlznhix.jpg)





粤公网安备44196802000105号