详细说明
概述
产品名称Anti-NAK/TBK1抗体[EP611Y]
描述
兔单克隆抗体[EP611Y] to NAK/TBK1
经测试应用ICC/IF,WB,IHC-P,ICC
种属反应性
与反应: Mouse, Rat, Human
免疫原
Synthetic peptide (the amino acid sequence is considered to be commercially sensitive) corresponding to Human NAK/TBK1 aa 1-100 (N terminal).
阳性对照
Hela cells, human breast carcinoma.
常规说明
This product is a recombinant rabbit monoclonal antibody.
Produced using Abcam’s RabMAb® technology. RabMAb® technology is covered by the following U.S. Patents, No. 5,675,063 and/or 7,429,487.
性能
形式Liquid
存放说明Shipped at 4°C. Upon delivery aliquot and store at -20°C. Avoid freeze / thaw cycles.
存储溶液PBS 49%,Sodium azide 0.01%,Glycerol 50%,BSA 0.05%
克隆单克隆
克隆编号EP611Y
同种型IgG
研究领域
Epigenetics and Nuclear Signaling
Nuclear Signaling Pathways
NFkB pathway
Signal Transduction
Signaling Pathway
Nuclear Signaling
NFkB Pathway
<a javascript:void(0)>Signal Transduction
Protein Phosphorylation
Ser / Thr Kinases
Other Kinases
Anti-NAK/TBK1 antibody [EP611Y] 图像
![Western blot - Anti-NAK antibody [EP611Y] (ab40676)](http://img.lianshimall.com/statics/attachment/goods/pl20160426/abcamMainImgPrimary/detail/ab4/ab40676OWB.jpg)
Western blot - Anti-NAK antibody [EP611Y] (ab40676)
Predicted band size : 84 kDa
Lane 1: Wild-type HAP1 cell lysate (20 µg)
Lane 2: NAK knockout HAP1 cell lysate (20 µg)
Lane 3: HeLa cell lysate (20 µg)
Lane 4: HepG2 cell lysate (20 µg)
Lanes 1 - 4: Merged signal (red and green). Green - ab40676 observed at 90 kDa. Red - loading control, ab8245, observed at 37 kDa.
ab40676 was shown to specifically react with NAK when NAK knockout samples were used. Wild-type and NAK knockout samples were subjected to SDS-PAGE. ab40676 and ab8245 (loading control to GAPDH) were diluted at 1/1000 and 1/10 000 respectively and incubated overnight at 4°C. Blots were developed with goat anti-rabbit IgG (H + L) and goat anti-mouse IgG (H + L) secondary antibodies at 1/10 000 dilution for 1 h at room temperature before imaging.![Anti-NAK antibody [EP611Y] (ab40676)](http://img.lianshimall.com/statics/attachment/goods/pl20160426/abcamMainImgPrimary/detail/ab4/ab406767_2.jpg)
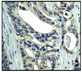
Anti-NAK antibody [EP611Y] (ab40676)
Immunohistochemical analysis of paraffin embedded human breast carcinoma using ab40676 diluted 1:50. Immunohistochemical analysis of paraffin embedded human breast carcinoma using ab40676 diluted 1:50.
![Western blot - Anti-NAK antibody [EP611Y] (ab40676)](http://img.lianshimall.com/statics/attachment/goods/pl20160426/abcamMainImgPrimary/detail/ab4/ab406766_1.jpg)
Western blot - Anti-NAK antibody [EP611Y] (ab40676)
Anti-NAK/TBK1 antibody [EP611Y] (ab40676) at 1/1000 dilution + HeLa cell lysate at 10 µg
Predicted band size : 84 kDa
Observed band size : 84 kDa
![Immunocytochemistry - Anti-NAK antibody [EP611Y] (ab40676)](http://img.lianshimall.com/statics/attachment/goods/pl20160426/abcamMainImgPrimary/detail/ab4/ab406767_3.jpg)
Immunocytochemistry - Anti-NAK antibody [EP611Y] (ab40676)
Immunofluorescent staining of HeLa cells using ab40676 diluted 1:500.




![Anti-HMGB1 antibody [EPR3506] 10µl](https://yunshiji.oss-cn-shenzhen.aliyuncs.com/202407/25/aeyqfwi4zsl.jpg)
![Anti-HMGB1 antibody [EPR3506] 100µl](https://yunshiji.oss-cn-shenzhen.aliyuncs.com/202407/25/skpaxrflv4o.jpg)
![Anti-HMGA1 antibody [EPR7839] 10µl](https://yunshiji.oss-cn-shenzhen.aliyuncs.com/202407/25/d00mjfdocky.jpg)
![Anti-HMGA1 antibody [EPR7839] 40µl](https://yunshiji.oss-cn-shenzhen.aliyuncs.com/202407/25/tgearga4etp.jpg)
![Anti-HMGA1 antibody [EPR7839] 100µl](https://yunshiji.oss-cn-shenzhen.aliyuncs.com/202407/25/epbjz5juk2g.jpg)
![Anti-HMGA1 antibody [EPR16649] 10µl](https://yunshiji.oss-cn-shenzhen.aliyuncs.com/202407/25/xcemuxdxk51.jpg)



粤公网安备44196802000105号