详细说明
概述
产品名称Anti-Nanog抗体[EPR2027(2)]
描述
兔单克隆抗体[EPR2027(2)] to Nanog
经测试应用WB,IHC-P,ICC/IF,Flow Cyt
种属反应性
与反应: Human
免疫原
Synthetic peptide (the amino acid sequence is considered to be commercially sensitive) corresponding to Human Nanog aa 1-100 (N terminal).
Database link: Q9H9S0阳性对照
WB: NCCIT cell lysate. IHC-P: Human seminoma tissue, Human dysgerminoma tissue and Human embryonal carcinoma tissue. ICC/IF: Human embryonic carcinoma and Human liver cell lines.
常规说明
This product is a recombinant rabbit monoclonal antibody.
We are constantly working hard to ensure we provide our customers with best in class antibodies. As a result of this work we are pleased to now offer this antibody in purified format. We are in the process of updating our datasheets. The purified format is designated ‘PUR’ on our product labels. If you have any questions regarding this update, please contact our Scientific Support team.
Produced using Abcam’s RabMAb® technology. RabMAb® technology is covered by the following U.S. Patents, No. 5,675,063 and/or 7,429,487.
Mouse, Rat: We have preliminary internal testing data to indicate this antibody may not react with these species. Please contact us for more information.
Alternative versions available:
Anti-Nanog antibody (Alexa Fluor® 488) [EPR2027(2)] (ab196155)
Anti-Nanog antibody (Alexa Fluor® 647) [EPR2027(2)] (ab195018)
性能
形式Liquid
存放说明Shipped at 4°C. Store at +4°C short term (1-2 weeks). Upon delivery aliquot. Store at -20°C long term. Avoid freeze / thaw cycle.
存储溶液pH: 7.20
Preservative: 0.01% Sodium azide
Constituents: 40% Glycerol, 59% PBS, 0.05% BSA纯度Protein A purified
克隆单克隆
克隆编号EPR2027(2)
同种型IgG
研究领域
Developmental Biology
Embryogenesis
Embryonic stem cells
Surface molecules
Cancer
Cell cycle
Cell differentiation
Epigenetics and Nuclear Signaling
Nuclear Signaling Pathways
SMADs
Stem Cells
Embryonic Stem Cells
Intracellular
Anti-Nanog antibody [EPR2027(2)] 图像
![Western blot - Anti-Nanog antibody [EPR2027(2)] (ab109250)](http://img.lianshimall.com/statics/attachment/goods/pl20160426/abcamMainImgPrimary/detail/ab10/ab109250WB1.jpg)
Western blot - Anti-Nanog antibody [EPR2027(2)] (ab109250)
Anti-Nanog antibody [EPR2027(2)] (ab109250) at 1/10000 dilution (purified) + NCCIT cell lysate at 10 µg
Secondary
Goat Anti-Rabbit IgG H&L (HRP) (ab97051) at 1/10000 dilution (Goat Anti-Rabbit IgG, (H+L), Peroxidase conjugated)
Predicted band size : 35 kDa
Western blot - Anti-Nanog antibody [EPR2027(2)] (ab109250)
Anti-Nanog antibody [EPR2027(2)] (ab109250) at 1/1000 dilution (unpurified) + NCCIT cell lysate at 10 µg
Predicted band size : 35 kDa
Observed band size : 37 kDa (why is the actual band size different from the predicted?)
![Immunohistochemistry (Formalin/PFA-fixed paraffin-embedded sections) - Anti-Nanog antibody [EPR2027(2)] (ab109250)](http://img.lianshimall.com/statics/attachment/goods/pl20160426/abcamMainImgPrimary/detail/ab10/ab109250HC1.jpg)
Immunohistochemistry (Formalin/PFA-fixed paraffin-embedded sections) - Anti-Nanog antibody [EPR2027(2)] (ab109250)
Immunohistochemistry (Formalin/PFA-fixed paraffin-embedded sections) analysis of human seminoma tissue labelling Nanog with purified ab109250 at 1/100. Heat mediated antigen retrieval was performed using Tris/EDTA buffer pH 9. ab97051, a goat anti-rabbit IgG H&L (HRP) was used as the secondary antibody (1/500). Negative control using PBS instead of primary antibody. Counterstained with hematoxylin.
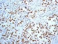
![Immunohistochemistry (Formalin/PFA-fixed paraffin-embedded sections) - Anti-Nanog antibody [EPR2027(2)] (ab109250)](http://img.lianshimall.com/statics/attachment/goods/pl20160426/abcamMainImgPrimary/detail/ab10/ab1092500-2.jpg)
Immunohistochemistry (Formalin/PFA-fixed paraffin-embedded sections) - Anti-Nanog antibody [EPR2027(2)] (ab109250)
Immunohistochemistry (Formalin/PFA-fixed paraffin-embedded sections) analysis of Human seminoma tissue labelling Nanog with unpurified ab109250 at 1/100.
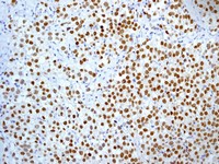
![Immunohistochemistry (Formalin/PFA-fixed paraffin-embedded sections) - Anti-Nanog antibody [EPR2027(2)] (ab109250)](http://img.lianshimall.com/statics/attachment/goods/pl20160426/abcamMainImgPrimary/detail/ab10/ab1092500-3.jpg)
Immunohistochemistry (Formalin/PFA-fixed paraffin-embedded sections) - Anti-Nanog antibody [EPR2027(2)] (ab109250)
Immunohistochemistry (Formalin/PFA-fixed paraffin-embedded sections) analysis of Human dysgerminoma tissue labelling Nanog with unpurified ab109250 at 1/100.
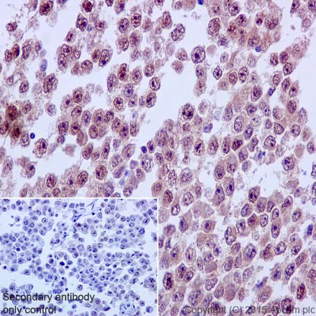
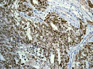
![Immunohistochemistry (Formalin/PFA-fixed paraffin-embedded sections) - Anti-Nanog antibody [EPR2027(2)] (ab109250)](http://img.lianshimall.com/statics/attachment/goods/pl20160426/abcamMainImgPrimary/detail/ab10/ab1092500-6.jpg)
Immunohistochemistry (Formalin/PFA-fixed paraffin-embedded sections) - Anti-Nanog antibody [EPR2027(2)] (ab109250)
Immunohistochemistry (Formalin/PFA-fixed paraffin-embedded sections) analysis of Human embryonal carcinoma tissue labelling Nanog with unpurified ab109250 at 1/100.
![Immunohistochemistry (Formalin/PFA-fixed paraffin-embedded sections) - Anti-Nanog antibody [EPR2027(2)] (ab109250)](http://img.lianshimall.com/statics/attachment/goods/pl20160426/abcamMainImgPrimary/detail/ab10/ab1092500-7.jpg)
Immunohistochemistry (Formalin/PFA-fixed paraffin-embedded sections) - Anti-Nanog antibody [EPR2027(2)] (ab109250)
Immunohistochemistry (Formalin/PFA-fixed paraffin-embedded sections) analysis of Human normal colon tissue shows negative staining of Nanog with unpurified ab109250.
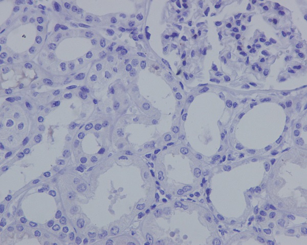
![Immunohistochemistry (Formalin/PFA-fixed paraffin-embedded sections) - Anti-Nanog antibody [EPR2027(2)] (ab109250)](http://img.lianshimall.com/statics/attachment/goods/pl20160426/abcamMainImgPrimary/detail/ab10/ab109250ney.jpg)
Immunohistochemistry (Formalin/PFA-fixed paraffin-embedded sections) - Anti-Nanog antibody [EPR2027(2)] (ab109250)
Immunohistochemistry (Formalin/PFA-fixed paraffin-embedded sections) analysis of Human adult kidney tissue shows negative staining of Nanog with unpurified ab109250.
![Flow Cytometry - Anti-Nanog antibody [EPR2027(2)] (ab109250)](http://img.lianshimall.com/statics/attachment/goods/pl20160426/abcamMainImgPrimary/detail/ab10/ab109250FC1.jpg)
Flow Cytometry - Anti-Nanog antibody [EPR2027(2)] (ab109250)
Flow Cytometry analysis of NCCIT cells labelling Nanog with purified ab109250 at 1/70 (red). Cells were fixed with 4% paraformaldehyde. A FITC-conjugated goat anti-rabbit IgG (1/500) was used as the secondary antibody. Black - Isotype control, rabbit monoclonal IgG. Blue - Unlabelled control, cells without incubation with primary and secondary antibodies.
![Immunocytochemistry/ Immunofluorescence - Anti-Nanog antibody [EPR2027(2)] (ab109250)](http://img.lianshimall.com/statics/attachment/goods/pl20160426/abcamMainImgPrimary/detail/ab10/ab109250IF1.jpg)
Immunocytochemistry/ Immunofluorescence - Anti-Nanog antibody [EPR2027(2)] (ab109250)
Immunocytochemistry/Immunofluorescence analysis of NCCIT(human pluripotent embryonal carcinoma) cells labelling Nanog with purified ab109250 at 1/250. Cells were fixed with 4% paraformaldehyde and permeabilized with 0.1% Triton X-100. ab150077, an Alexa Fluor® 488-conjugated goat anti-rabbit IgG (1/500) was used as the secondary antibody. DAPI (blue) was used as the nuclear counterstain. ab7291, a mouse anti-tubulin (1/1000) and ab150120, an Alexa Fluor® 594-conjugated goat anti-mouse IgG (1/1000) were also used.
Control 1: primary antibody (1/100) and secondary antibody, ab150120, an Alexa Fluor® 594-conjugated goat anti-mouse IgG (1/500).
Control 2: ab7291 (1/1000) and secondary antibody, ab150077, an Alexa Fluor® 488-conjugated goat anti-rabbit IgG (1/500).
![Immunocytochemistry/ Immunofluorescence - Anti-Nanog antibody [EPR2027(2)] (ab109250)](http://img.lianshimall.com/statics/attachment/goods/pl20160426/abcamMainImgPrimary/detail/ab10/ab109250-34.jpg)
Immunocytochemistry/ Immunofluorescence - Anti-Nanog antibody [EPR2027(2)] (ab109250) This image is courtesy of an anonymous Abreview
Immunocytochemistry/Immunofluorescence analysis of Human Liver cells labelling Nanog with unpurified ab109250. Cells were fixed with Paraformaldehyde, permeabilized with Triton X-100 0.1% and blocked with 1% BSA for 12 hours at 4°C. Sample was incubated with primary antibody (1/500 in PBS) for 16 hour at 4°C. An Alexa Fluor®647-conjugated Donkey anti-rabbit(1/1000) IgG polyclonal was used as the secondary antibody.
See Abreview
![Immunocytochemistry/ Immunofluorescence - Anti-Nanog antibody [EPR2027(2)] (ab109250)](http://img.lianshimall.com/statics/attachment/goods/pl20160426/abcamMainImgPrimary/detail/ab10/ab1092500-4.jpg)
Immunocytochemistry/ Immunofluorescence - Anti-Nanog antibody [EPR2027(2)] (ab109250)
Immunocytochemistry/Immunofluorescence analysis of embryonic carcinoma cells labelling Nanog with unpurified ab109250 at 1/100.




![Anti-HMGB1 antibody [EPR3506] 10µl](https://yunshiji.oss-cn-shenzhen.aliyuncs.com/202407/25/aeyqfwi4zsl.jpg)
![Anti-HMGB1 antibody [EPR3506] 100µl](https://yunshiji.oss-cn-shenzhen.aliyuncs.com/202407/25/skpaxrflv4o.jpg)
![Anti-HMGA1 antibody [EPR7839] 10µl](https://yunshiji.oss-cn-shenzhen.aliyuncs.com/202407/25/d00mjfdocky.jpg)
![Anti-HMGA1 antibody [EPR7839] 40µl](https://yunshiji.oss-cn-shenzhen.aliyuncs.com/202407/25/tgearga4etp.jpg)
![Anti-HMGA1 antibody [EPR7839] 100µl](https://yunshiji.oss-cn-shenzhen.aliyuncs.com/202407/25/epbjz5juk2g.jpg)
![Anti-HMGA1 antibody [EPR16649] 10µl](https://yunshiji.oss-cn-shenzhen.aliyuncs.com/202407/25/xcemuxdxk51.jpg)



粤公网安备44196802000105号