详细说明
概述
产品名称Anti-Integrin alpha 6抗体[EPR18124]
描述
兔单克隆抗体[EPR18124] to Integrin alpha 6
经测试应用WB,IHC-P
种属反应性
与反应: Mouse, Rat, Human
免疫原
Synthetic peptide (the amino acid sequence is considered to be commercially sensitive) within Human Integrin alpha 6 aa 1-100. The exact sequence is proprietary.
Database link: P23229阳性对照
WB: SW480, A549, F6 whole cell lysates; Mouse skin lysate and Rat skin lysate, Human fetal kidney tissue lysate, Mouse kidney and spleen tissue lysate, Rat spleen tissue lysate. IHC-P: Human breast tissue, Human endometrial cancer tissue, Mouse stomach tissue, Rat stomach tissue.
常规说明
This product is a recombinant rabbit monoclonal antibody.
Produced using Abcam’s RabMAb® technology. RabMAb® technology is covered by the following U.S. Patents, No. 5,675,063 and/or 7,429,487.
性能
形式Liquid
存放说明Shipped at 4°C. Store at +4°C short term (1-2 weeks). Upon delivery aliquot. Store at -20°C long term. Avoid freeze / thaw cycle.
存储溶液Preservative: 0.01% Sodium azide
Constituents: 59% PBS, 40% Glycerol, 0.05% BSA纯度Protein A purified
克隆单克隆
克隆编号EPR18124
同种型IgG
研究领域
Developmental Biology
Embryogenesis
Embryonic stem cells
Intracellular
Stem Cells
Hematopoietic Progenitors
Myeloid
Monocytic Lineage
Stem Cells
Embryonic Stem Cells
Surface Molecules
Signal Transduction
Cytoskeleton / ECM
Cell Adhesion
Integrins
Alpha
Signal Transduction
Cytoskeleton / ECM
Basal Lamina
Anti-Integrin alpha 6 antibody [EPR18124] 图像
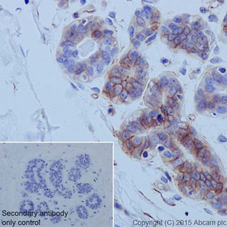
![Immunohistochemistry (Formalin/PFA-fixed paraffin-embedded sections) - Anti-Integrin alpha 6 antibody [EPR18124] (ab181551)](http://img.lianshimall.com/statics/attachment/goods/pl20160426/abcamMainImgPrimary/detail/ab18/ab181551HC1.jpg)
Immunohistochemistry (Formalin/PFA-fixed paraffin-embedded sections) - Anti-Integrin alpha 6 antibody [EPR18124] (ab181551)
Immunohistochemical analysis of paraffin-embedded Human breast tissue labeling Intergrin alpha 6 with ab181551 at 1/500 followed by Goat Anti-Rabbit IgG (HRP) at 1/500.
Membrane and cytoplasm staining on epithelial cells of Human breast tissue is observed.
Counter stained with Hematoxylin.
Negative control: Used PBS instead of primary antibody followed by Goat Anti-Rabbit IgG (HRP) at 1/500.![Immunohistochemistry (Formalin/PFA-fixed paraffin-embedded sections) - Anti-Integrin alpha 6 antibody [EPR18124] (ab181551)](http://img.lianshimall.com/statics/attachment/goods/pl20160426/abcamMainImgPrimary/detail/ab18/ab181551HC2.jpg)
Immunohistochemistry (Formalin/PFA-fixed paraffin-embedded sections) - Anti-Integrin alpha 6 antibody [EPR18124] (ab181551)
Immunohistochemical analysis of paraffin-embedded Human endometrial cancer tissue labeling Intergrin alpha 6 with ab181551 at 1/500 followed by Goat Anti-Rabbit IgG (HRP) at 1/500.
Membrane and cytoplasm staining on tumor cells of Human endometrial cancer tissue is observed.
Counter stained with Hematoxylin.
Negative control: Used PBS instead of primary antibody followed by Goat Anti-Rabbit IgG (HRP) at 1/500.![Western blot - Anti-Integrin alpha 6 antibody [EPR18124] (ab181551)](http://img.lianshimall.com/statics/attachment/goods/pl20160426/abcamMainImgPrimary/detail/ab18/ab181551WB1.jpg)
Western blot - Anti-Integrin alpha 6 antibody [EPR18124] (ab181551)
All lanes : Anti-Integrin alpha 6 antibody [EPR18124] (ab181551) at 1/10000 dilution
Lane 1 : SW480 (Human colon adenocarcinoma cell line) whole cell lysate
Lane 2 : A549 (Human lung carcinoma) whole cell lysate
Lane 3 : Mouse skin lysate
Lane 4 : Rat skin lysate
Lysates/proteins at 20 µg per lane.
Secondary
Goat Anti-Rabbit IgG, (H+L),Peroxidase conjugated at 1/1000 dilution
developed using the ECL technique
Predicted band size : 127 kDa
Observed band size : 127 kDa
Exposure time : 3 minutesBlocking and diluting buffer was 5% NFDM /TBST.
![Western blot - Anti-Integrin alpha 6 antibody [EPR18124] (ab181551)](http://img.lianshimall.com/statics/attachment/goods/pl20160426/abcamMainImgPrimary/detail/ab18/ab181551WB2.jpg)
Western blot - Anti-Integrin alpha 6 antibody [EPR18124] (ab181551)
Anti-Integrin alpha 6 antibody [EPR18124] (ab181551) at 1/2000 dilution + Human fetal kidney tissue lysate at 10 µg
Secondary
Anti-Rabbit IgG (HRP), specific to the non-reduced form of IgG at 1/1000 dilution
developed using the ECL technique
Predicted band size : 127 kDa
Observed band size : 127 kDa
Exposure time : 3 minutesBlocking and diluting buffer was 5% NFDM /TBST.
![Western blot - Anti-Integrin alpha 6 antibody [EPR18124] (ab181551)](http://img.lianshimall.com/statics/attachment/goods/pl20160426/abcamMainImgPrimary/detail/ab18/ab181551WB3.jpg)
Western blot - Anti-Integrin alpha 6 antibody [EPR18124] (ab181551)
All lanes : Anti-Integrin alpha 6 antibody [EPR18124] (ab181551) at 1/2000 dilution
Lane 1 : Mouse kidney tissue lysate
Lane 2 : Mouse spleen tissue lysate
Lysates/proteins at 10 µg per lane.
Secondary
Goat Anti-Rabbit IgG, (H+L),Peroxidase conjugated at 1/1000 dilution
developed using the ECL technique
Predicted band size : 127 kDa
Observed band size : 127 kDa
Exposure time : 10 secondsBlocking and diluting buffer was 5% NFDM /TBST
![Western blot - Anti-Integrin alpha 6 antibody [EPR18124] (ab181551)](http://img.lianshimall.com/statics/attachment/goods/pl20160426/abcamMainImgPrimary/detail/ab18/ab181551WB4.jpg)
Western blot - Anti-Integrin alpha 6 antibody [EPR18124] (ab181551)
All lanes : Anti-Integrin alpha 6 antibody [EPR18124] (ab181551) at 1/10000 dilution
Lane 1 : F9 (mouse embryo testicular cancer cell line) whole cell lysate
Lane 2 : Rat spleen tissue lysate
Lysates/proteins at 10 µg per lane.
Secondary
Goat Anti-Rabbit IgG, (H+L),Peroxidase conjugated at 1/1000 dilution
developed using the ECL technique
Predicted band size : 127 kDa
Observed band size : 127 kDa
Exposure time : 3 minutesBlocking and diluting buffer was 5% NFDM /TBST
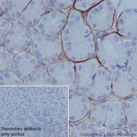
![Immunohistochemistry (Formalin/PFA-fixed paraffin-embedded sections) - Anti-Integrin alpha 6 antibody [EPR18124] (ab181551)](http://img.lianshimall.com/statics/attachment/goods/pl20160426/abcamMainImgPrimary/detail/ab18/ab181551HC3.jpg)
Immunohistochemistry (Formalin/PFA-fixed paraffin-embedded sections) - Anti-Integrin alpha 6 antibody [EPR18124] (ab181551)
Immunohistochemical analysis of paraffin-embedded Mouse stomach tissue labeling Intergrin alpha 6 with ab181551 at 1/500 followed by Goat Anti-Rabbit IgG (HRP) at 1/500.
Basement membrane staining on tumor cells of Mouse stomach tissue is observed.
Counter stained with Hematoxylin.
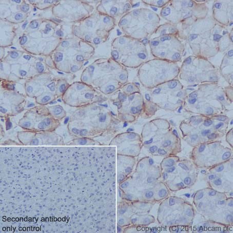
Negative control: Used PBS instead of primary antibody followed by Goat Anti-Rabbit IgG (HRP) at 1/500.![Immunohistochemistry (Formalin/PFA-fixed paraffin-embedded sections) - Anti-Integrin alpha 6 antibody [EPR18124] (ab181551)](http://img.lianshimall.com/statics/attachment/goods/pl20160426/abcamMainImgPrimary/detail/ab18/ab181551HC4.jpg)
Immunohistochemistry (Formalin/PFA-fixed paraffin-embedded sections) - Anti-Integrin alpha 6 antibody [EPR18124] (ab181551)
Immunohistochemical analysis of paraffin-embedded Rat stomach tissue labeling Intergrin alpha 6 with ab181551 at 1/500 followed by Goat Anti-Rabbit IgG (HRP) at 1/500.
Basement membrane staining on tumor cells of Rat stomach tissue is observed.
Counter stained with Hematoxylin.
Negative control: Used PBS instead of primary antibody followed by Goat Anti-Rabbit IgG (HRP) at 1/500.












粤公网安备44196802000105号