详细说明
概述
产品名称Anti-Ionotropic Glutamate receptor 2抗体[EPR18115]
描述
兔单克隆抗体[EPR18115] to Ionotropic Glutamate receptor 2
经测试应用ICC/IF,IP,IHC-P,WB
种属反应性
与反应: Mouse, Rat, Human
免疫原
Recombinant fragment within Human Ionotropic Glutamate receptor 2 aa 300-450. The exact sequence is proprietary.
Database link: P42262Run BLAST with
Run BLAST with
阳性对照
WB: Mouse, rat and Human brain lysates; Human fetal brain lysate. IHC-P: Human solitary fibrous tumor tissue. ICC/IF: HT1080 cells. IP: C6 whole cell lysates.
常规说明
This product is a recombinant rabbit monoclonal antibody.
Produced using Abcam’s RabMAb® technology. RabMAb® technology is covered by the following U.S. Patents, No. 5,675,063 and/or 7,429,487.
性能
形式Liquid
存放说明Shipped at 4°C. Store at +4°C short term (1-2 weeks). Upon delivery aliquot. Store at -20°C long term. Avoid freeze / thaw cycle.
存储溶液Preservative: 0.01% Sodium azide
Constituents: 59% PBS, 40% Glycerol, 0.05% BSA纯度Protein A purified
克隆单克隆
克隆编号EPR18115
同种型IgG
研究领域
Neuroscience
Neurotransmission
Receptors / Channels
GPCR
Glutamate Receptors
Neuroscience
Neurotransmitter
Amino Acids
Glutamate
Anti-Ionotropic Glutamate receptor 2 antibody [EPR18115] 图像
![Western blot - Anti-Io<i></i>notropic Glutamate receptor 2 antibody [EPR18115] (ab206293)](http://img.lianshimall.com/statics/attachment/goods/pl20160426/abcamMainImgPrimary/detail/ab2/ab206293WBa.jpg)
Western blot - Anti-Ionotropic Glutamate receptor 2 antibody [EPR18115] (ab206293)
All lanes : Anti-Ionotropic Glutamate receptor 2 antibody [EPR18115] (ab206293) at 1/5000 dilution
Lane 1 : Mouse brain lysate
Lane 2 : Rat brain lysate
Lane 3 : Human fetal brain lysate
Lane 4 : Rat spleen lysate
Lane 5 : HeLa (Human epithelial cell line from cervix adenocarcinoma) whole cell lysate
Lane 6 : Human fetal kidney lysate
Lane 7 : HT1080 (Human fibrosarcoma cell line) whole cell lysate
Lysates/proteins at 10 µg per lane.
Secondary
Anti-Rabbit IgG (HRP), specific to the non-reduced form of IgG at 1/10000 dilution
Predicted band size : 99 kDa
Observed band size : 99 kDa
Blocking/Dilution buffer: 5% NFDM/TBST.
Exposure time: Lane 1: 1 second; Lane 2,3,4,5,6 and 7: 10 seconds.
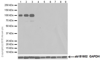
![Western blot - Anti-Io<i></i>notropic Glutamate receptor 2 antibody [EPR18115] (ab206293)](http://img.lianshimall.com/statics/attachment/goods/pl20160426/abcamMainImgPrimary/detail/ab2/ab206293293.jpg)
Western blot - Anti-Ionotropic Glutamate receptor 2 antibody [EPR18115] (ab206293)
All lanes : Anti-Ionotropic Glutamate receptor 2 antibody [EPR18115] (ab206293) at 1/2000 dilution
Lane 1 : Human brain lysate
Lane 2 : Mouse brain lysate
Lane 3 : Rat brain lysate
Lane 4 : C6 (Rat glial tumor cell line) whole cell lysate
Lane 5 : Human fetal kidney lysate
Lane 6 : HT1080 (Human fibrosarcoma cell line) whole cell lysate
Lane 7 : Mouse heart lysate
Lane 8 : Rat spleen lysate
Lane 9 : HeLa (Human epithelial cell line from cervix adenocarcinoma) whole cell lysate
Lysates/proteins at 20 µg per lane.
Secondary
Anti-Rabbit IgG (HRP), specific to the non-reduced form of IgG at 1/10000 dilution
Predicted band size : 99 kDa
Observed band size : 99 kDa
Exposure time : 3 minutesBlocking/Dilution buffer: 5% NFDM/TBST.
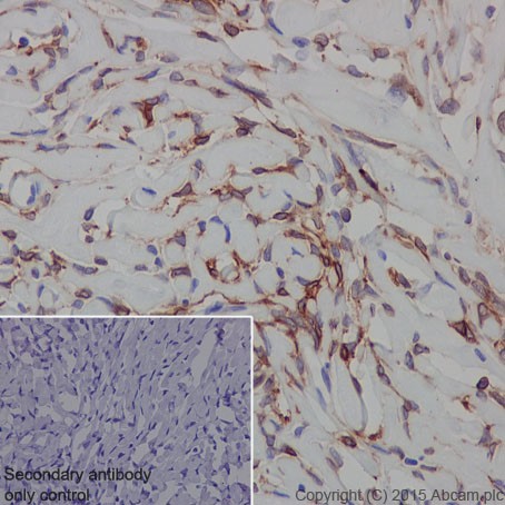
![Immunohistochemistry (Formalin/PFA-fixed paraffin-embedded sections) - Anti-Io<i></i>notropic Glutamate receptor 2 antibody [EPR18115] (ab206293)](http://img.lianshimall.com/statics/attachment/goods/pl20160426/abcamMainImgPrimary/detail/ab2/ab206293IHC.jpg)
Immunohistochemistry (Formalin/PFA-fixed paraffin-embedded sections) - Anti-Ionotropic Glutamate receptor 2 antibody [EPR18115] (ab206293)
Immunohistochemical analysis of paraffin-embedded Human solitary fibrous tumor tissue labeling Ionotropic Glutamate receptor 2 with ab206293 at 1/500 dilution, followed by Goat Anti-Rabbit IgG H&L (HRP) (ab97051) at 1/500 dilution.
Membrane staining on Human solitary fibrous tumor is observed.
Counter stained with Hematoxylin.
Secondary antibody only control: Used PBS instead of primary antibody, secondary antibody is Goat Anti-Rabbit IgG H&L (HRP) (ab97051) at 1/500 dilution.
![Immunocytochemistry/ Immunofluorescence - Anti-Io<i></i>notropic Glutamate receptor 2 antibody [EPR18115] (ab206293)](http://img.lianshimall.com/statics/attachment/goods/pl20160426/abcamMainImgPrimary/detail/ab2/ab2062933IF.jpg)
Immunocytochemistry/ Immunofluorescence - Anti-Ionotropic Glutamate receptor 2 antibody [EPR18115] (ab206293)
Immunofluorescent analysis of 4% paraformaldehyde-fixed, 0.1% Triton X-100 permeabilized HT1080 (Human fibrosarcoma cell line) cells labeling Ionotropic Glutamate receptor 2 with ab206293 at 1/700 dilution, followed by Goat Anti-Rabbit IgG (Alexa Fluor® 488) (ab150077) secondary antibody at 1/1000 dilution (green).
Confocal image showing cytoplasmic staining on HT1080 cell line.
The nuclear counterstain is DAPI (blue).
Tubulin is detected with Anti-alpha Tubulin antibody [EPR18115] - Loading Control (ab7291) at 1/1000 dilution and Goat Anti-Mouse IgG H&L (Alexa Fluor® 594) preadsorbed (ab150120) at 1/1000 dilution (red).
The negative controls are as follows:-
-ve control 1: ab206293 at 1/700 dilution followed by ab150120 at 1/1000 dilution.
-ve control 2: ab7291 at 1/1000 dilution followed by ab150077 at 1/1000 dilution.
![Immunoprecipitation - Anti-Io<i></i>notropic Glutamate receptor 2 antibody [EPR18115] (ab206293)](http://img.lianshimall.com/statics/attachment/goods/pl20160426/abcamMainImgPrimary/detail/ab2/ab2062933IP.jpg)
Immunoprecipitation - Anti-Ionotropic Glutamate receptor 2 antibody [EPR18115] (ab206293)
Ionotropic Glutamate receptor 2 was immunoprecipitated from 1mg of C6 (Rat glial tumor cell line) whole cell lysate with ab206293 at 1/40 dilution.
Western blot was performed from the immunoprecipitate using ab206293 at 1/1000 dilution.
VeriBlot for IP secondary antibody (HRP) (ab131366), was used as secondary antibody at 1/10000 dilution.
Lane 1: C6 whole cell lysate 10µg (Input).
Lane 2: ab206293 IP in C6 whole cell lysate.
Lane 3:Rabbit IgG, monoclonal [EPR18115] - Isotype Control (ab172730) instead of ab206293 in C6 whole cell lysate.
Blocking and dilution buffer and concentration: 5% NFDM/TBST.
Exposure time: 10 seconds.












粤公网安备44196802000105号