详细说明
概述
产品名称Anti-PKC alpha + beta 2 + gamma抗体[EPR18104]
描述
兔单克隆抗体[EPR18104] to PKC alpha + beta 2 + gamma
经测试应用WB,IHC-P,ICC/IF,Flow Cyt
种属反应性
与反应: Mouse, Rat, Human
免疫原
Recombinant fragment within Human PKC alpha + beta 2 + gamma aa 150-350. The exact sequence is proprietary.
Database link: P05129Run BLAST with
Run BLAST with
阳性对照
WB: Active human PKC alpha, PKC gamma and PKC beta 2 full length proteins; Human fetal brain lysate; HeLa, Jurkat, K562, C6, RAW 264.7, PC-12 and NIH/3T3 whole cell lysates; Mouse and rat brain lysates. IHC-P: Human cerebral cortex, Human pancreas, Cervical cancer, mouse kidney and rat kidney tissues. ICC/IF: SH-SY5Y and HeLa cells. Flow Cyt: HeLa cells.
常规说明
Produced using Abcam’s RabMAb® technology. RabMAb® technology is covered by the following U.S. Patents, No. 5,675,063 and/or 7,429,487.
性能
形式Liquid
存放说明Shipped at 4°C. Store at +4°C short term (1-2 weeks). Upon delivery aliquot. Store at -20°C long term. Avoid freeze / thaw cycle.
存储溶液Preservative: 0.01% Sodium azide
Constituents: 59% PBS, 40% Glycerol, 0.05% BSA纯度Protein A purified
克隆单克隆
克隆编号EPR18104
同种型IgG
Anti-PKC alpha + beta 2 + gamma antibody [EPR18104] 图像
![Western blot - Anti-PKC alpha + beta 2 + gamma antibody [EPR18104] (ab184746)](http://img.lianshimall.com/statics/attachment/goods/pl20160426/abcamMainImgPrimary/detail/ab18/ab184746WBa.jpg)
Western blot - Anti-PKC alpha + beta 2 + gamma antibody [EPR18104] (ab184746)
All lanes : Anti-PKC alpha + beta 2 + gamma antibody [EPR18104] (ab184746) at 1/1000 dilution
Lane 1 : Active human PKC alpha full length protein
Lane 2 : Active human PKC gamma full length protein
Lysates/proteins at 0.02 µg per lane.
Secondary
Goat Anti-Rabbit IgG H&L (HRP) (ab97051) at 1/50000 dilution
Predicted band size : 77, 78 kDa
Exposure time : 1 secondBlocking/Dilution buffer: 5% NFDM/TBST.
Active human PKC alpha full length protein (Catalog#ab55672) contains aa1-672 with GST-tag; Active human PKC gamma full length protein (Catalog#ab60842) contains aa1-677 with GST-tag.
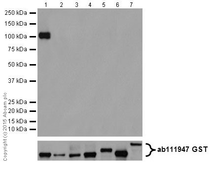
![Western blot - Anti-PKC alpha + beta 2 + gamma antibody [EPR18104] (ab184746)](http://img.lianshimall.com/statics/attachment/goods/pl20160426/abcamMainImgPrimary/detail/ab18/ab184746WBb.jpg)
Western blot - Anti-PKC alpha + beta 2 + gamma antibody [EPR18104] (ab184746)
All lanes : Anti-PKC alpha + beta 2 + gamma antibody [EPR18104] (ab184746) at 1/1000 dilution
Lane 1 : Active human PKC beta 2 full length protein
Lane 2 : Active human PKC beta 1 full length protein
Lane 3 : Active human PKC delta full length protein
Lane 4 : Active human PKC eta full length protein
Lane 5 : Active human PKC epsilon full length protein
Lane 6 : Active human PKC theta full length protein
Lane 7 : Active human PKC mu full length protein
Lysates/proteins at 0.02 µg per lane.
Secondary
Goat Anti-Rabbit IgG H&L (HRP) (ab97051) at 1/50000 dilution
Predicted band size : 77, 78 kDa
Exposure time : 3 minutesBlocking/Dilution buffer: 5% NFDM/TBST.
Active human PKC beta 1 full length protein(Catalog#ab60840) contains aa1-671 with GST-tag; Active human PKC beta 2 full length protein(Catalog#ab60841) contains aa1-673 with GST-tag; Active human PKC delta full length protein(Catalog#ab60844) contains aa1-676 with GST-tag; Active human PKC eta full length protein(Catalog#ab60849) contains aa1-683 with GST-tag; Active human PKC epsilon full length protein(Catalog#ab60847) contains aa1-737 with GST-tag; Active human PKC theta full length protein(Catalog#ab56641) contains aa1-706 with GST-tag; Active human PKC mu full length protein(Catalog#ab60873) contains aa1-912 with GST-tag.
![Western blot - Anti-PKC alpha + beta 2 + gamma antibody [EPR18104] (ab184746)](http://img.lianshimall.com/statics/attachment/goods/pl20160426/abcamMainImgPrimary/detail/ab18/ab184746WBc.jpg)
Western blot - Anti-PKC alpha + beta 2 + gamma antibody [EPR18104] (ab184746)
Anti-PKC alpha + beta 2 + gamma antibody [EPR18104] (ab184746) at 1/1000 dilution + Active human PKC beta 1 full length protein at 0.02 µg
Secondary
Goat Anti-Rabbit IgG H&L (HRP) (ab97051) at 1/50000 dilution
Predicted band size : 77, 78 kDa
Exposure time : 3 minutesBlocking/Dilution buffer: 5% NFDM/TBST.
Active human PKC beta 1 full length protein (Catalog #ab60840) contains aa1-671 with GST-tag.
![Western blot - Anti-PKC alpha + beta 2 + gamma antibody [EPR18104] (ab184746)](http://img.lianshimall.com/statics/attachment/goods/pl20160426/abcamMainImgPrimary/detail/ab18/ab184746WBd.jpg)
Western blot - Anti-PKC alpha + beta 2 + gamma antibody [EPR18104] (ab184746)
Anti-PKC alpha + beta 2 + gamma antibody [EPR18104] (ab184746) at 1/1000 dilution + Human fetal brain lysate at 10 µg
Secondary
Anti-Rabbit IgG (HRP), specific to the non-reduced form of IgG at 1/10000 dilution
Predicted band size : 77, 78 kDa
Observed band size : 78 kDa (why is the actual band size different from the predicted?)
Exposure time : 1 secondBlocking/Dilution buffer: 5% NFDM/TBST.
![Western blot - Anti-PKC alpha + beta 2 + gamma antibody [EPR18104] (ab184746)](http://img.lianshimall.com/statics/attachment/goods/pl20160426/abcamMainImgPrimary/detail/ab18/ab184746WBe.jpg)
Western blot - Anti-PKC alpha + beta 2 + gamma antibody [EPR18104] (ab184746)
All lanes : Anti-PKC alpha + beta 2 + gamma antibody [EPR18104] (ab184746) at 1/1000 dilution
Lane 1 : HeLa (Human epithelial cell line from cervix adenocarcinoma) whole cell lysate
Lane 2 : Jurkat (Human T cell leukemia cell line from peripheral blood) whole cell lysate
Lane 3 : K562 (Human chronic myelogenous leukemia cell line from bone marrow) whole cell lysate
Lysates/proteins at 10 µg per lane.
Secondary
Goat Anti-Rabbit IgG H&L (HRP) (ab97051) at 1/10000 dilution
Predicted band size : 77, 78 kDa
Observed band size : 78 kDa (why is the actual band size different from the predicted?)
Exposure time : 2 secondsBlocking/Dilution buffer: 5% NFDM/TBST.
![Western blot - Anti-PKC alpha + beta 2 + gamma antibody [EPR18104] (ab184746)](http://img.lianshimall.com/statics/attachment/goods/pl20160426/abcamMainImgPrimary/detail/ab18/ab184746WBf.jpg)
Western blot - Anti-PKC alpha + beta 2 + gamma antibody [EPR18104] (ab184746)
All lanes : Anti-PKC alpha + beta 2 + gamma antibody [EPR18104] (ab184746) at 1/1000 dilution
Lane 1 : Mouse brain lysate
Lane 2 : Rat brain lysate
Lane 3 : C6 (Rat glial tumor cell line) whole cell lysate
Lane 4 : RAW 264.7 (Mouse macrophage cell line transformed with Abelson murine leukemia virus) whole cell lysate
Lane 5 : PC-12 (Rat adrenal gland pheochromocytoma cell line) whole cell lysate
Lane 6 : NIH/3T3 (Mouse embryonic fibroblast cell line) whole cell lysate
Lysates/proteins at 10 µg per lane.
Secondary
Goat Anti-Rabbit IgG H&L (HRP) (ab97051) at 1/10000 dilution
Predicted band size : 77, 78 kDa
Observed band size : 78 kDa (why is the actual band size different from the predicted?)
Exposure time : 1 secondBlocking/Dilution buffer: 5% NFDM/TBST.
![Immunocytochemistry/ Immunofluorescence - Anti-PKC alpha + beta 2 + gamma antibody [EPR18104] (ab184746)](http://img.lianshimall.com/statics/attachment/goods/pl20160426/abcamMainImgPrimary/detail/ab18/ab184746IFa.jpg)
Immunocytochemistry/ Immunofluorescence - Anti-PKC alpha + beta 2 + gamma antibody [EPR18104] (ab184746)
Immunofluorescent analysis of 4% paraformaldehyde-fixed, 0.1% Triton X-100 permeabilized SH-SY5Y (Human neuroblastoma cell line from bone marrow) cells labeling PKC gamma with ab184746 at 1/100 dilution, followed by Goat anti-rabbit IgG (Alexa Fluor® 488) (ab150077) secondary antibody at 1/1000 dilution (green).
Confocal image showing cytoplasmic and nuclear staining on SH-SY5Y cell line.
The nuclear counterstain is DAPI (blue). Tubulin is detected with ab7291 (anti-Tubulin mouse mAb) at 1/1000 dilution and ab150120 (AlexaFluor®594 Goat anti-Mouse secondary) at 1/1000 dilution (red).
The negative controls are as follows:-
-ve control 1: ab184746 at 1/100 dilution followed by ab150120 (AlexaFluor®594 Goat anti-Mouse secondary) at 1/1000 dilution.
-ve control 2: ab7291 (anti-Tubulin mouse mAb) at 1/1000 dilution followed by ab150077 (Alexa Fluor®488 Goat Anti-Rabbit IgG H&L) at 1/1000 dilution.
![Immunocytochemistry/ Immunofluorescence - Anti-PKC alpha + beta 2 + gamma antibody [EPR18104] (ab184746)](http://img.lianshimall.com/statics/attachment/goods/pl20160426/abcamMainImgPrimary/detail/ab18/ab184746IFb.jpg)
Immunocytochemistry/ Immunofluorescence - Anti-PKC alpha + beta 2 + gamma antibody [EPR18104] (ab184746)
Immunofluorescent analysis of 4% paraformaldehyde-fixed, 0.1% Triton X-100 permeabilized HeLa (Human epithelial cell line from cervix adenocarcinoma) cells labeling PKC gamma with ab184746 at 1/100 dilution, followed by Goat anti-rabbit IgG (Alexa Fluor® 488) (ab150077) secondary antibody at 1/1000 dilution (green).
Confocal image showing cytoplasmic and nuclear staining on HeLa cell line.
The nuclear counterstain is DAPI (blue).
Tubulin is detected with ab7291 (anti-Tubulin mouse mAb) at 1/1000 dilution and ab150120 (AlexaFluor®594 Goat anti-Mouse secondary) at 1/1000 dilution (red).
The negative controls are as follows:-
-ve control 1: ab184746 at 1/100 dilution followed by ab150120 (AlexaFluor®594 Goat anti-Mouse secondary) at 1/1000 dilution.
-ve control 2: ab7291 (anti-Tubulin mouse mAb) at 1/1000 dilution followed by ab150077 (Alexa Fluor®488 Goat Anti-Rabbit IgG H&L) at 1/1000 dilution.
![Immunohistochemistry (Formalin/PFA-fixed paraffin-embedded sections) - Anti-PKC alpha + beta 2 + gamma antibody [EPR18104] (ab184746)](http://img.lianshimall.com/statics/attachment/goods/pl20160426/abcamMainImgPrimary/detail/ab18/ab184746HCb.jpg)
Immunohistochemistry (Formalin/PFA-fixed paraffin-embedded sections) - Anti-PKC alpha + beta 2 + gamma antibody [EPR18104] (ab184746)
Immunohistochemical analysis of paraffin-embedded Human pancreas tissue labeling PKC gamma with ab184746 at 1/400 dilution, followed by Goat Anti-Rabbit IgG H&L (HRP) (ab97051) at 1/500 dilution.
Nucleus and weak cytoplasmic staining on Human pancreatic acinar cells is observed.
Counter stained with Hematoxylin.
Secondary antibody only control: Used PBS instead of primary antibody, secondary antibody is ab97051 at 1/500 dilution.
![Immunohistochemistry (Formalin/PFA-fixed paraffin-embedded sections) - Anti-PKC alpha + beta 2 + gamma antibody [EPR18104] (ab184746)](http://img.lianshimall.com/statics/attachment/goods/pl20160426/abcamMainImgPrimary/detail/ab18/ab184746HCc.jpg)
Immunohistochemistry (Formalin/PFA-fixed paraffin-embedded sections) - Anti-PKC alpha + beta 2 + gamma antibody [EPR18104] (ab184746)
Immunohistochemical analysis of paraffin-embedded cervical cancer tissue labeling PKC gamma with ab184746 at 1/400 dilution, followed by Goat Anti-Rabbit IgG H&L (HRP) (ab97051) at 1/500 dilution.
Nucleus and weak cytoplasmic staining on cancer cells of cervix cancer is observed.
Counter stained with Hematoxylin.
Secondary antibody only control: Used PBS instead of primary antibody, secondary antibody is ab97051 at 1/500 dilution.
![Immunohistochemistry (Formalin/PFA-fixed paraffin-embedded sections) - Anti-PKC alpha + beta 2 + gamma antibody [EPR18104] (ab184746)](http://img.lianshimall.com/statics/attachment/goods/pl20160426/abcamMainImgPrimary/detail/ab18/ab184746HCd.jpg)
Immunohistochemistry (Formalin/PFA-fixed paraffin-embedded sections) - Anti-PKC alpha + beta 2 + gamma antibody [EPR18104] (ab184746)
Immunohistochemical analysis of paraffin-embedded Mouse kidney tissue labeling PKC gamma with ab184746 at 1/400 dilution, followed by Goat Anti-Rabbit IgG H&L (HRP) (ab97051) at 1/500 dilution.
Cytoplasmic staining on epithelial cells of mouse kidney is observed.
Counter stained with Hematoxylin.
Secondary antibody only control: Used PBS instead of primary antibody, secondary antibody is ab97051 at 1/500 dilution.
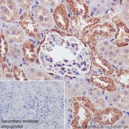
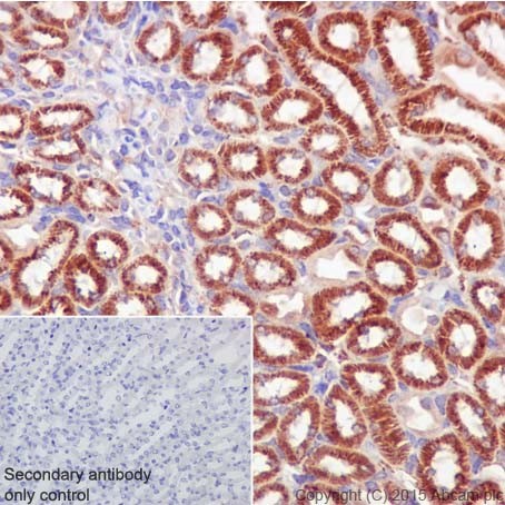
![Immunohistochemistry (Formalin/PFA-fixed paraffin-embedded sections) - Anti-PKC alpha + beta 2 + gamma antibody [EPR18104] (ab184746)](http://img.lianshimall.com/statics/attachment/goods/pl20160426/abcamMainImgPrimary/detail/ab18/ab184746HCe.jpg)
Immunohistochemistry (Formalin/PFA-fixed paraffin-embedded sections) - Anti-PKC alpha + beta 2 + gamma antibody [EPR18104] (ab184746)
Immunohistochemical analysis of paraffin-embedded Rat kidney tissue labeling PKC gamma with ab184746 at 1/400 dilution, followed by Goat Anti-Rabbit IgG H&L (HRP) (ab97051) at 1/500 dilution.
Nucleus and cytoplasmic staining on epithelial cells of rat kidney is observed.
Counter stained with Hematoxylin.
Secondary antibody only control: Used PBS instead of primary antibody, secondary antibody is ab97051 at 1/500 dilution.
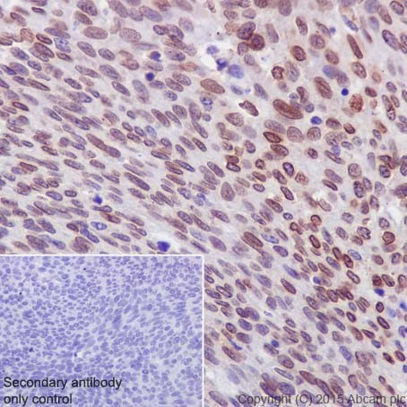
![Immunohistochemistry (Formalin/PFA-fixed paraffin-embedded sections) - Anti-PKC alpha + beta 2 + gamma antibody [EPR18104] (ab184746)](http://img.lianshimall.com/statics/attachment/goods/pl20160426/abcamMainImgPrimary/detail/ab18/ab184746HCa.jpg)
Immunohistochemistry (Formalin/PFA-fixed paraffin-embedded sections) - Anti-PKC alpha + beta 2 + gamma antibody [EPR18104] (ab184746)
Immunohistochemical analysis of paraffin-embedded Human cerebral cortex tissue labeling PKC gamma with ab184746 at 1/400 dilution, followed by Goat Anti-Rabbit IgG H&L (HRP) (ab97051) at 1/500 dilution.
Weak cytoplasmic staining on neuron of Human cerebral cortex is observed.
Counter stained with Hematoxylin.
Secondary antibody only control: Used PBS instead of primary antibody, secondary antibody is Goat Anti-Rabbit IgG H&L (HRP) (ab97051) at 1/500 dilution.
![Flow Cytometry - Anti-PKC alpha + beta 2 + gamma antibody [EPR18104] (ab184746)](http://img.lianshimall.com/statics/attachment/goods/pl20160426/abcamMainImgPrimary/detail/ab18/ab1847466FC.jpg)
Flow Cytometry - Anti-PKC alpha + beta 2 + gamma antibody [EPR18104] (ab184746)
Flow cytometric analysis of 4% paraformaldehyde-fixed HeLa (Human epithelial cell line from cervix adenocarcinoma) cells labeling PKC gamma with ab184746 at 1/60 dilution (red) compared with a rabbit monoclonal IgG isotype control (ab172730; black) and an unlabelled control (cells without incubation with primary antibody and secondary antibody; blue). Goat anti rabbit IgG (FITC) at 1/500 dilution was used as the secondary antibody.














粤公网安备44196802000105号